
اول ارتودنسی یا ایمپلنت؟
اول ارتودنسی یا ایمپلنت؟ این یکی از رایج ترین و مهمترین سوالاتی است که بیماران نیازمند هر دو درمان با آن روبرو می شوند. پاسخ قاطع

اول ارتودنسی یا ایمپلنت؟ این یکی از رایج ترین و مهمترین سوالاتی است که بیماران نیازمند هر دو درمان با آن روبرو می شوند. پاسخ قاطع

تمیز کردن براکت های ارتودنسی یک مسئولیت روزانه و حیاتی برای هر فردی است که تحت این درمان قرار دارد. وجود براکت ها، سیم ها و

تحلیل لثه در ارتودنسی به فرآیندی اطلاق می شود که در آن، بافت لثه در طول دوره درمان ارتودنسی دچار پسروی شده و سطح ریشه دندان

سیم پشت دندان ارتودنسی که به آن نگهدارنده یا ریتینر ثابت نیز می گویند، یک سیم نازک و سفارشی است. این سیم به طور دائمی به

تحلیل استخوان فک فرآیندی خاموش اما مخرب است که در آن، استخوان نگهدارنده دندان ها به تدریج از بین می رود. این وضعیت می تواند منجر

عقب رفتن لثه، یا تحلیل لثه، فرآیندی است که در آن بافت لثه اطراف دندان از بین رفته و سطح ریشه دندان نمایان می شود. این

در آمدن دندان بالای لثه، که در علم دندانپزشکی به آن رویش نابجا (Ectopic Eruption) گفته می شود، یک ناهنجاری رشدی است. در این حالت، دندان

ارتودنسی روی دندان کامپوزیت شده یکی از چالش های رایج در درمان های ارتودنسی بزرگسالان است. بسیاری از افراد ممکن است قبل از تصمیم به مرتب

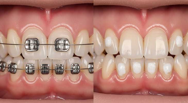
لکه سفید روی دندان ها پس از ارتودنسی، که به آن ضایعه لکه سفید (WSL) نیز می گویند، یکی از نگرانی های اصلی بیماران و متخصصان

ترک خوردگی و شکستگی دندان یکی از مشکلات رایج دندانپزشکی است که می تواند در هر سنی رخ دهد. این مشکل، از ترک های مویی و

ارتودنسی در 30 سالگی فرصتی بی نظیر برای افرادی است که به دنبال اصلاح طرح لبخند و رفع مشکلات عملکردی دندان های خود هستند. بسیاری از

ارتودنسی اشتباه یک درمان ناموفق است که نه تنها به نتایج مطلوب دست پیدا نمیکند، بلکه می تواند به سلامت دندان ها، لثه ها و ساختار

ارتودنسی در سن بالا دیگر یک رویا یا تابو نیست. این درمان به یک گزینه درمانی رایج و موفق برای بزرگسالان تبدیل شده است. بسیاری از

ارتودنسی در 50 سالگی و بالاتر دیگر یک رویای دست نیافتنی نیست، بلکه یک واقعیت علمی و در دسترس برای بهبود سلامت و زیبایی لبخند است.

تنفس دهانی یک الگوی تنفسی غیر طبیعی است که در آن فرد به جای بینی، عمدتا از طریق دهان نفس می کشد. این وضعیت که اغلب

ارتودنسی چند دندان، که به آن ارتودنسی جزئی یا محدود نیز گفته می شود، یک رویکرد درمانی هدفمند است. این روش برای اصلاح ناهنجاری های زیبایی

ارتودنسی یک فک، که به عنوان ارتودنسی تک فک نیز شناخته می شود، یک راه حل درمانی موثر برای بیمارانی است که مشکلات دندانی و فکی

ارتودنسی در سن 13 تا 18 سالگی که مصادف با دوران نوجوانی است، به عنوان ایده آل ترین و طلایی ترین زمان برای انجام یک درمان